נער שבר מפרקת בעקבות קפיצת אקסטרים וקובע בבורג בודד
שבר במפרקת הוא אחת הפגיעות המסוכנות ביותר, ועלולה לגרום למוות. נער בן 15 שביצע קפיצת פארקור, פעילות אקסטרים של קפיצה ממקום למקום בגובה רב, הגיע לרמב"ם עם שבר כזה אחרי שנפל מגובה
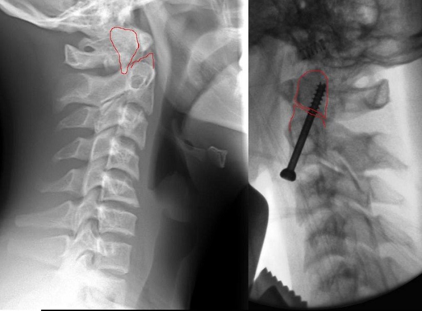
בניתוח, שכמוהו בוצעו בודדים בארץ, בוצע קיבוע השבר באמצעות בורג אחד בלבד. הנער שוחרר תוך זמן קצר ואינו סובל ממגבלות בתנועה.
קפיצות הפארקור הינה תופעה תרבותית רחבה של השנים האחרונות בה מוצאים בני נוער עניין רב. העיקרון מאחורי קפיצות אלו הינו קיצור - דרך והגעה ממקום אחד למשנהו בזמן הקצר ביותר. כדי לעשות זאת, מבצעים בני הנוער קפיצות אקסטרים ממקום למקום, ולעיתים אף מגובה רב. במקרים רבים זה מסתיים ללא פגיעה, אבל קפיצה אחת יותר מדיי, הביאה לחדר המיון ברמב"ם נער בן 15, תושב הצפון, שסבל משבר במפרקת כתוצאה מ"נחיתה לא נכונה".
הנער, שהגיע לפני כשבוע לחדר המיון עם חבלה בעמוד השדרה הצווארי, סבל משבר בלתי יציב בחוליה הצווארית השנייה, חבלה המוכרת יותר בשם "שבר במפרקת". חבלה כזו יכולה לגרום למוות כמעט וודאי, במקרה והשבר פוגע בחוט השדרה . למזלו של הנער, הפגיעה נגרמה בחוליה מסוימת, שאפשרה לרופאים להציל את חייו, אבל גם לספק לו איכות חיים גבוהה בהמשך, זאת הודות לניתוח חדשני שכמוהו בוצעו בודדים בארץ, ונעשה לראשונה בצפון, ובמהלכו בוצע קיבוע לשבר, באמצעות בורג בודד בלבד.
למעשה, לרשות המנתחים האורתופדיים ברמב"ם עמדו שלוש אפשרויות לטיפול בנער: באפשרות הראשונה מדובר בקיבוע השבר באמצעות מקבע חיצוני מסוגHALO למשך שלושה חודשים.
בדרך זו אין הבטחה לחיבור השבר באחוז גבוה וודאי, הדבר כרוך בצלקת במצח המנותח, תחלואה גבוהה, כשמעל הכול מדובר באי-נוחות מאד גבוהה למטופל עצמו. באפשרות הקבוע השנייה עליה חשבו הרופאים, מקובעות שתי החוליות הצוואריות C1 ו-C2 יחדיו ולמעשה, הן הופכות לתפקד כ"חוליה אחת גדולה", דבר הכרוך בהגבלה של 50% טווח מהתנועות הסיבוביות של הראש, לכל החיים.
במקרה שכזה, מדובר בניתוח כירורגי מורכב עם סיכונים גבוהים למטופל. על-ידי בחירה באפשרות הבאה, הצליחו הרופאים לקבע את השבר באמצעות בורג בודד בלבד מאזור בסיס הצוואר, מקדימה מעל עצם הבריח, כשבדרך זו, אין כלל פגיעה בוושט, בעורקים או בקנה הנשימה.
השימוש באפשרות השלישית בה טופל הנער, סייעה לרופאים להבטיח את קיבוע השבר המסוים בחוליה C2 באופן מיידי, כאשר באופן זה, הסיכויים לחיבור העצם הינם הגבוהים ביותר. אולם החלק המהותי ביותר בניתוח הוא שטווח התנועות הסיבוביות של הצוואר נשאר כמו שהיה וביכולת הנער לבצע תנועות סיבוביות, תוך פחות מ-48 שעות מהניתוח.
הניתוח ביצעו ד"ר אליאס חדאד, מנתח בכיר ביחידת עמוד שדרה ברמב"ם וד"ר עמית קרן, רופא בכיר במערך האורתופדי, בהנחית ד"ר חנני עמוס, מנהל יחידת עמוד השדרה בביה"ח.
בבדיקות ה-CT שבוצעו לאחר הניתוח, נמצא שהשבר שוחזר וקובע באופן משביע רצון, והנער שוחרר לביתו, כשהוא אינו סובל מכאבים משמעותיים.
ד"ר חדאד מסביר: "בניגוד לשתי השיטות שהוזכרו מעלה, החתך הניתוחי שנשאר אצל המטופל הינו קטן, אין קדיחות בגולגולתו ואין ברגים מיותרים. כדי לוודא שהכיוון והקיבוע של אותו שבר מתבצע בצורה האופטימאלית בוצע שיקוף באמצעות שני מכשירי דימות, כשהתוצאה שקיבלנו הייתה חייבת להיות מדויקת ביותר. ברגע שקיבלנו את התמונה המלאה, החלטנו לפעול בשיטת הקיבוע השלישית, שלמרות מורכבותה הטכנית, היתרונות שלה לרווחת המטופל בהמשך חייו, הינם הגבוהים ביותר".
כאשר רואים אדם הסובל מפגיעה באזור הצוואר כתוצאה מנפילה מגובה או מחבלה, ד"ר חדאד ממליץ שלא להושיב את הפגוע, לא לנסות להזיז אותו, לחייג מיד להזעקת עזרה ראשונה ולתאר את מהות הפגיעה באופן הרחב ביותר. בהרבה מקרים, הזזת אדם פגוע בפגיעות מהסוג הזה, כשהראש מוזז שלא באותו "ציר" עם הגוף, יכול להיגרם נזק חמור למטופל, שיכול להסתיים אף במותו.
בתמונה: צילום השבר לפני הקיבוע (משמאל), ולאחריו (מימין).
צילום: באדיבות דוברות רמב"ם.


















