לשים לב במה הילדים משחקים
גופים זרים הם לא משחק ילדים, מטבע של 10 שקלים, חלק חד שיצא ממשחק וסיכת ראש הם רק חלק מהאירועים שטופלו בחדר מיון ילדים של המרכז הרפואי הלל יפה, לאחר שילדים קטנים בלעו אותם
מאז החל החופש הגדול, שבו הילדים מבלים זמן רב יותר בבית, לא תמיד אנו, ההורים, שמים את מלוא תשומת הלב במה הילדים משחקים בכל רגע נתון.
לחדר מיון ילדים של המרכז הרפואי הלל יפה הגיע ילד כבן ארבע מפרדס חנה-כרכור, לאחר שבלע חתיכת פלסטיק ממשחק בו שיחק. החלק היה בצורת עיגול המחובר לחוט תיל באורך של כחמישה סנטימטרים. בצילום נראה הגוף הזר בתוך חלל הקיבה. מהירות תגובת חברי הצוות הביאה לכך שהגוף הזר נשלף בזמן קצר של כשעה מזמן הגעתו של הילד לחדר המיון.
"במצב כזה, כל דקה קריטית. קיים סיכון שהחלק החד יגרום לנקבים בקיבה או בדופן המעי, במידה שהיה מתקדם מהקיבה", מסבירה ד"ר אורלי אדיב אשיך, מנהלת שירות גסטרואנטרולוגיה בילדים במרכז הרפואי הלל יפה, אשר הוציאה את הגוף הזר מקיבתו של הילד. "אין זה מובן מאליו שתוך פחות משעה התארגן צוות המורכב משני מרדימים, אחות וגסטרואנטרולוג, עם כל הציוד הנדרש, כדי להוציא את הגוף הזר מהקיבה, בפרט שמקרה זה היה מורכב יותר, שכן נאלצנו לבצע הרדמה מלאה, כיוון שהילד לא היה בצום, ואז להכניס צינור לקנה הנשימה לצורך הוצאת הגוף הזר", הוסיפה ד"ר אדיב אשיך. כאמור, הגוף הזר נשלף מהקיבה והילד שוחרר לביתו בבריאות תקינה.
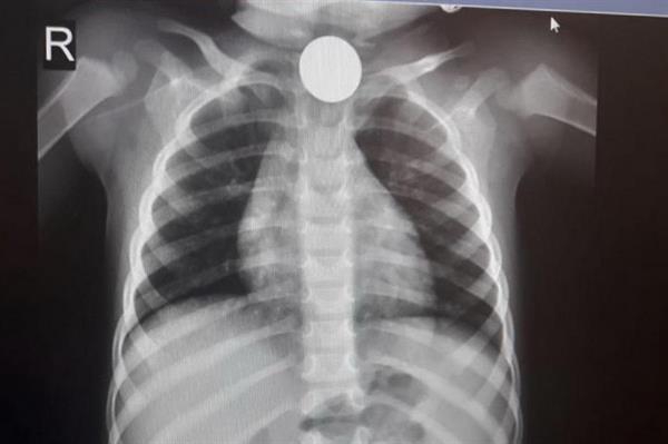
יום לאחר מכן התרחש מקרה נוסף של פעוט בן שנה ועשרה חודשים, שהגיע אף הוא למיון ילדים לאחר שהוריו חשדו כי בלע מטבע של 10 שקלים. ההורים סיפרו כי יום לפני כן שיחק הפעוט עם המטבע ורק ביום למחרת, לאחר שהקיא מספר פעמים, חשדו ההורים שמא בלע את המטבע. בצילום נראה בבירור המטבע בחלקו העליון של הוושט.
"לאחר שהבחנו כי המטבע תקוע בחלק העליון של הוושט, הכנסנו את הפעוט במהירות לחדר הניתוח ובאמצעות אנדוסקופ קשיח – צינור מיוחד המכיל מקור אור, שלפנו את המטבע התקוע תחת הרדמה מלאה", ציינו ד"ר יצחק ברוורמן, מנהל יחידת אף-אוזן-גרון וכירורגיה של ראש-צוואר, וד"ר יצחק שוחט, רופא מתמחה ביחידה. המטבע הוצא בהצלחה על ידי השניים והפעוט נשאר להשגחה למשך יממה ושוחרר לביתו בריא ושלם. ד"ר ברוורמן מדגיש כי הבעיה המסוכנת ביותר היא כאשר גופים זרים נשאפים לריאות, דבר שעלול לגרום לקוצר נשימה בילדים ואף לחנק.
ד"ר אדיב אישך מספרת כי, לצערה, מקרים של בליעת גופים זרים, הם דבר שבשגרה, ובתקופת החופש הגדול, מספר המקרים אף עולה, בעקבות כך שהילדים מבלים זמן רב יותר בבית. לכן, היא קוראת להורים לשים לב שילדיהם לא משחקים עם חלקים קטנים וחדים, שעלולים, בסופו של דבר, לגרום לנזק בלתי הפיך.
"ישנם גופים שחייבים להרחיק מהישג ידם של ילדים, לדוגמה, מגנטים קטנים, בטריות שטוחות, גופים חדים ופולימרים סופחי נוזלים (גולות פלסטיק לקישוט אגרטלים המתנפחות בחשיפה לנוזל), אשר עלולים לגרום לחסימת מעיים מוחלטת עם בליעתם. אמנם רוב הגופים הזרים הקטנים אינם חדים ובלתי מזיקים, אך צריך לפקוח עיניים כשמדובר בגופים חדים במיוחד.
"אם מופיעים סימפטומים נשימתיים או סימפטומים הקשורים למערכת העיכול, כמו הקאה, קושי בבליעה או ריור, יש להגיע בדחיפות לבית החולים לצורך אבחון וקבלת טיפול מתאים", מסכמת ד"ר אדיב אישך.
















